焦作人民医院成功施行“严重膝外翻人工膝关节置换术”

查看数: 2460 | 评论数: 0 | 收藏 0
关灯 | 提示:支持键盘翻页<-左 右->
    组图打开中,请稍候......
发布时间: 2019-6-28 09:26

正文摘要:

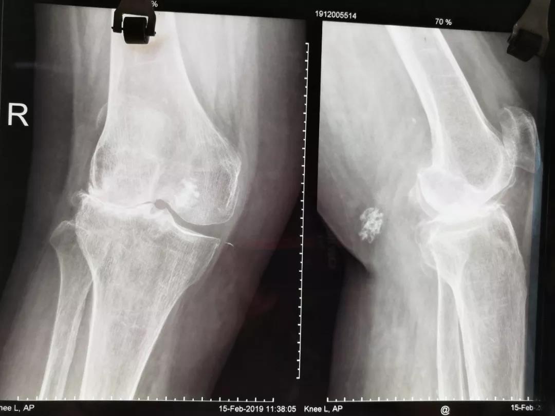
        近日,焦作市人民医院关节外科施行一例“严重膝关节外翻人工关节置换术”,解除了患者长达六年的痛苦。         患者孟XX,六年前感右膝关节 ...

回复

高级模式
B Color Image Link Quote Code Smilies |上传

本版积分规则

发布主题 上个主题 下个主题 快速回复 收藏帖子 返回列表 我要提意见!
© 2022-2023 焦作信息港山阳论坛 版权所有  豫ICP备19003319号-5 豫公网安备豫公网安备 41080202000135号   
快速回复 返回顶部 返回列表